Os Danos Rápidos que o Fast Food Causa à Saúde Intestinal

Crédito:Pixabay
Um estudo recente revelou que consumir uma dieta rica em gordura por apenas alguns dias pode enfraquecer as defesas intestinais e desencadear uma inflamação silenciosa, o que pode levar a problemas crônicos. Notavelmente, esses efeitos foram considerados reversíveis.
A Ligação Oculta entre Fast Food e Inflamação
Fast food é prático, barato e inegavelmente saboroso, embora todos saibamos que não é exatamente saudável. Os riscos de uma dieta rica em gordura são bem documentados, então isso não é novidade. Muitos podem não perceber que o fast food também desempenha um papel significativo na promoção da inflamação no corpo.
“Uma nova pesquisa do WEHI da Austrália confirma que mesmo algumas refeições de fast food podem desencadear inflamação leve, enfraquecendo a barreira intestinal e abrindo caminho para a inflamação crônica.“
“O Dr. Cyril Seillet, autor principal, explicou que cada refeição afeta a saúde intestinal, com dietas ricas em gordura saturada enfraquecendo lentamente as defesas intestinais e aumentando o risco de inflamação crônica.” O preocupante é que esse processo é inicialmente silencioso — pode passar despercebido por anos antes de se manifestar como uma inflamação a longo prazo.
Dieta Rica em Gorduras a Curto Prazo
“Pesquisadores alimentaram camundongos com uma dieta rica em gordura ou padrão por sete dias e descobriram que mesmo a exposição de curto prazo reduziu os níveis de IL-22, uma proteína vital para a integridade intestinal, controle da inflamação e reparo dos tecidos.“

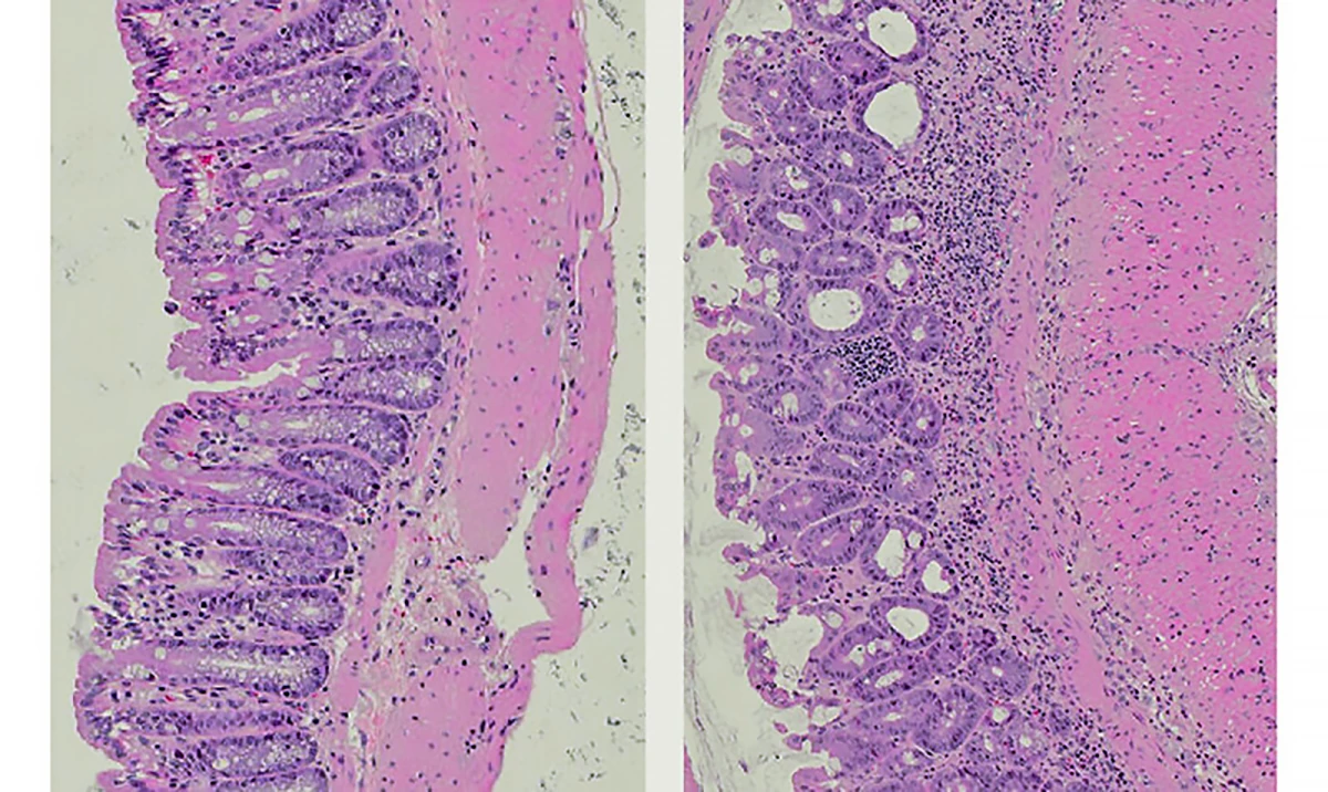
Crédito:Mice fed a normal diet (left) have healthy, well-organised gut tissues. The gut tissue of those fed a high-fat diet (right) is disrupted, with thickening of the gut wall (pink) and an accumulation of immune cells (purple dots) – clear signs of inflammatory bowel diseaseWEHI
“A IL-22 desempenha um papel vital na manutenção da saúde e da defesa intestinal”, explicou o autor principal e doutorando Le Xiong. “Sem a IL-22, o intestino fica vulnerável à inflamação. Apenas dois dias de uma dieta rica em gordura reduziram a IL-22 em camundongos, prejudicando a função intestinal antes mesmo do aparecimento de quaisquer sintomas.”
Gorduras Saturadas vs. Insaturadas
Gorduras saturadas reduziram os níveis de IL-22 em camundongos, enquanto gorduras insaturadas de fontes como nozes e abacates tiveram o efeito oposto. Pesquisadores acreditam que isso também pode se aplicar a humanos e planejam explorar maneiras naturais de aumentar a produção de IL-22.
Leia o Artigo Original em: New Atlas
Leia mais: Comida de Plástico Prejudica o Desenvolvimento do Cérebro, Afectando a Memória a Longo Prazo